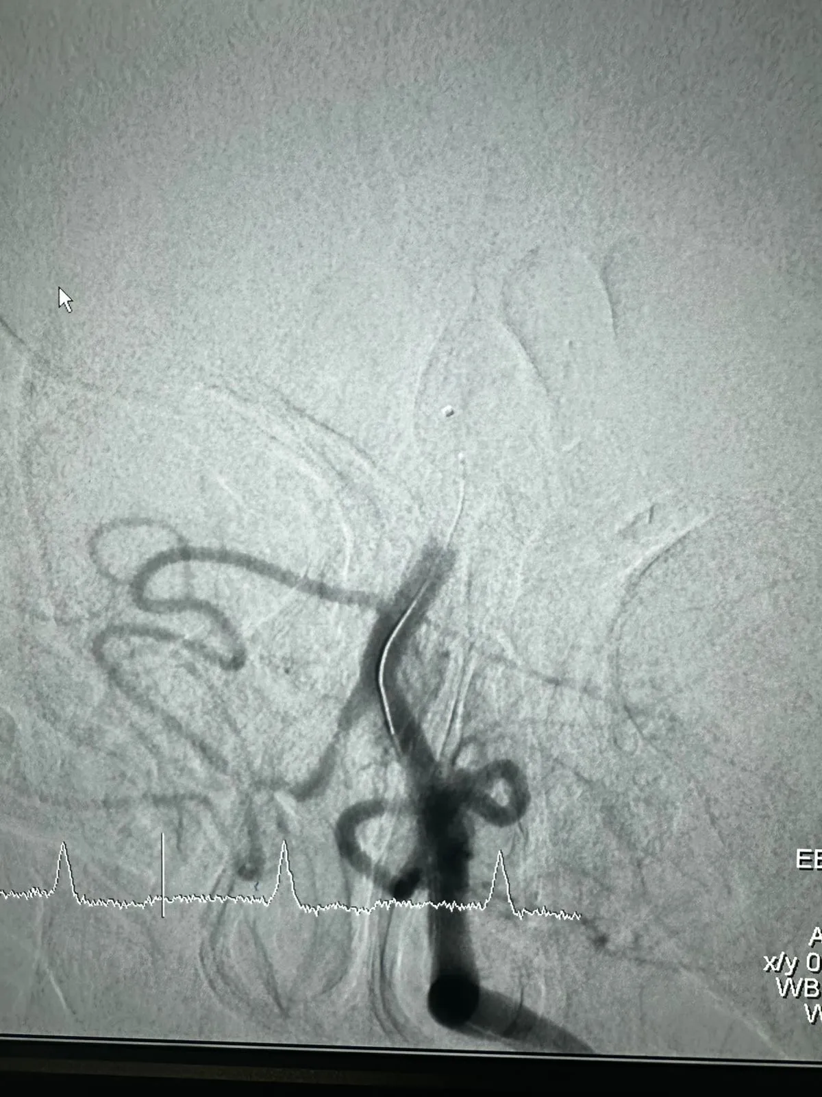
Niedawno miał miejsce udany przypadek trombektomii z użyciem urządzenia Dredger Stent Retriever firmy NeuroSafe Medical Co., Ltd. Urządzenie Dredger Stent Retriever ma nieinwazyjną, miękką końcówkę, która znacznie zmniejsza ryzyko uszkodzenia błony wewnętrznej, a także specjalny kształt otworu, który wychwytuje skrzepy krwi głównie poprzez zaciskanie zmian szczeliny.





